午前/問題1
アルカリ土類金属元素はどれか。
1.18F
2.32P
3.67Ga
4.90Sr
5.131I
午前/問題2
親核種(半減期T1、壊変定数λ1、原子数N1) と娘核種(半減期T2、壊変定数λ2、原子数N2) が過渡平衡にあるとき、娘核種の原子数N2はどれか。
 
午前/問題3
90Srと137Csに共通するのはどれか。2つ選べ。
1.γ線放出体である。
2.放射性の娘核種をもつ。
3.アルカリ金属元素である。
4.骨に集まりやすい核種である。
5.235U の熱中性子による核分裂で高収率に生成される。
午前/問題4
放射性核種の分離精製法で正しいのはどれか。
1.蒸留法ではコロイド的性質を利用する。
2.溶媒抽出法では溶媒に成分物質を抽出する。
3.イオン交換クロマトグラフィでは担体を用いる。
4.共沈法では遠心分離器を用いて放射性核種を沈殿させる。
5.電気泳動法では電荷を持った高分子の重量差を利用する。
午前/問題5
放射化学分離法についての組合せで正しいのはどれか。
1.共沈法
2.電気泳動法
3.溶媒抽出法
4.昇華・蒸留法
5.薄層クロマトグラフィ
午前/問題6
標識化合物と合成法の組合せで正しいのはどれか。2つ選べ。
1.3H標識化合物 ーーーーー グルニヤール反応
2.14C 標識化合物 ーーーーー 生合成法
3.18F 標識化合物 ーーーーー 間接標識法
4.99mTc 標識化合物 ーーーーー クロラミンT法
5.125I 標識化合物 ーーーーー ボルトンハンター法
午前/問題7
標識化合物の放射化学的純度検定に用いられるのはどれか。2つ選べ。
1.PIXE法
2.逆希釈法
3.電気泳動法
4.反跳合成法
5.電子線回折法
午前/問題8
半減期10分の核種を製造することとした。
10 分間照射した生成放射能に対する30分間照射した生成放射能の比はどれか。
1.1.25
2.1.50
3.1.75
4.2.25
5.3.00
午前/問題9
X線管で正しいのはどれか。
1.空間電荷電流は両極間電圧の乗に比例する。
2.管電圧一定で管電流を増すと焦点寸法は大きくなる。
3.焦点外X線の発生は回転陽極管よりも固定陽極管で多い。
4.X線用可動絞りの下羽根は焦点外X線の低減に有効である。
5.ターゲット角度が小さいほど利用可能な放射角度は大きくなる。
午前/問題10
短時間負荷が80kV、400mAのとき、X線管入力が30.4kWであった。
管電圧のリプル百分率で正しいのはどれか。
1.4%
2.8%
3.12%
4.30%
5.40%
午前/問題11
一般X線撮影用可動絞り装置のJIS規格で正しいのはどれか。
1.外装漏れ電流は0.01mA以下であること。
2.X線照射野と光照射野の誤差はSIDの%以内であること。
3.最小X線照射野がSID65cmにおいてcm庵cm以下であること。
4.最大X線照射野がSID100cmにおいて35cm庵35cmを超えないこと。
5.漏れ線量は焦点から100cmの距離において1.0mGy/時以下であること。
午前/問題12
X線装置で正しいのはどれか。
1.空間電荷補償回路は管電圧を一定に保つ。
2.X線用高電圧ケーブルには250μF/m程度の容量がある。
3.ピーク形の管電圧調整は主変圧器のタップを切り替える。
4.X線管フィラメント加熱変圧器の一次側と二次側とは高電圧絶縁する。
5.ピーク形の撮影時間は電気角90度を超えた部分をパルスと数える。
午前/問題13
インバータ式X線装置のインバータ周波数で正しいのはどれか。
1.〜50MHzが使用されている。
2.周波数可変形のみ使用されている。
3.周波数が高いほど高電圧変圧器の損失は大きい。
4.周波数が低いほど管電圧の立ち下がり時間は長い。
5.周波数が高いほど管電圧のリプル百分率は大きい。
午前/問題14
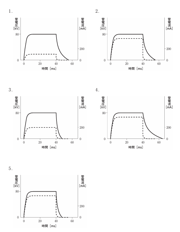
管電圧80kV、管電流200mA、照射時間40msで発生させた高電圧波形を示す。
管電流を400mAに変化させたときの高電圧波形はどれか。
 
 
午前/問題15
I.I.で正しいのはどれか。
1.視野が大きいほど出力輝度は暗くなる。
2.出力面の蛍光体にはGd2O2Sが用いられる。
3.解像度は周辺部に比べて中心部で低下する。
4.変換係数が大きくなるほど感度は低くなる。
5.可変視野管は加速電極の電圧を変化させて視野を制御する。
午前/問題16
CR装置で正しいのはどれか。2つ選べ。
1.リアルタイムに画像を見ることができる。
2.両面集光方式によって発光の検出効率が向上する。
3.発光した光を光電子増倍管でデジタル信号にする。
4.イメージングプレートには輝尽性蛍光体が用いられる。
5.イメージングプレートは白色レーザーを照射することで発光する。
午前/問題17
歯科用X線装置と撮影に関する事項の組合せで正しいのはどれか。2つ選べ。
1.パノラマX線装置 ーーーーー 2次スリット
2.セファロX線装置 ーーーーー 規格撮影
3.歯科用一般X線装置 ーーーーー ウエストポイント法
4.コーンビームCT装置 ーーーーー ヘリカルスキャン
5.体腔管式パノラマ撮影装置 ーーーーー 咬合法
午前/問題18
乳房用X線装置で正しいのはどれか。
1.Moターゲットの特性X線は30keVである。
2.被写体厚が変化しても撮影条件は一定である。
3.X線管の照射窓にはアルミニウムが使用される。
4.密着撮影では移動運動グリッドが使用される。
5.拡大撮影では0.5mmの焦点サイズが使用される。
午前/問題19
CT値で正しいのはどれか。
1.脂肪はHUである。
2.甲状腺よりも肝臓が高い。
3.空気は-1000HUである。
4.骨皮質は+1000HUである。
5.被写体による線質硬化に差があっても変化しない。
午前/問題20
成人患者の胸部から骨盤部の範囲を、スライス厚mm、スライス間隔mmとして、総撮影時間秒間でCT撮影したい。撮影方法で適切なのはどれか。
1.多検出器で寝台固定
2.単検出器で連続寝台移動
3.多検出器で連続寝台移動
4.単検出器で間欠寝台移動
5.多検出器で間欠寝台移動
午前/問題21
MRI装置の安全性に関してJIS規格で上限値が定められているのはどれか。2つ選べ。
1.TR
2.SAR
3.加算回数
4.位相エンコード数
5.傾斜磁場出力(dB/dt)
午前/問題22
MR像のSN比を上昇させるのはどれか。
1.加算回数を減らす。
2.低磁場装置を使用する。
3.空間分解能を高くする。
4.受信周波数帯域を狭くする。
5.SENSE sensitivity encodingを使用する。
午前/問題23
超音波を送受信する際、集束の役割を果たすのはどれか。2つ選べ。
1.凹面振動子
2.音響整合層
3.音響レンズ
4.エコーゼリー
5.パッキング材
午前/問題24
体外式超音波検査でセクタ式プローブを選択すべき臓器はどれか。
1.心臓
2.肝臓
3.腎臓
4.膀胱
5.腹部大動脈
午前/問題25
無散瞳眼底カメラの構成要素のうち、最も眼底に近い位置にあるのはどれか。
1.有孔ミラー
2.対物レンズ
3.変倍レンズ
4.リングスリット
5.ハロゲンランプ
午前/問題26
無散瞳眼底カメラで正しいのはどれか。
1.直接照明を使用する。
2.自然散瞳で撮影する。
3.眼底精密検査に用いる。
4.高精細モニタで読影する。
5.縮瞳状態でも撮影できる。
午前/問題27
JIS Z 4752の「医用画像部門における品質維持の評価及び日常試験方法」に定められている試験項目はどれか。2つ選べ。
1.受入試験
2.定期試験
3.引渡試験
4.恒常性試験
5.不変性試験
午前/問題28
JIS規格に定められる撮影装置とX線管焦点皮膚間距離の組合せで正しいのはどれか。
1.移動形X線装置
2.歯科用パノラマ断層撮影装置
3.拡大撮影時の乳房用X線装置
4.公称最高管電圧が60kVを超える歯科用X線装置
5.公称最高管電圧が60kVを超えない歯科用X線装置
午前/問題29
MRIのアーチファクトとその抑制法の組合せで正しいのはどれか。2つ選べ。
1.磁化率 ーーーーー TEの延長
2.折り返し ーーーーー TRの延長
3.ケミカルシフト ーーーーー 受信周波数帯域幅の拡大
4.トランケーション ーーーーー マトリックス数の増加
5.ミスレジストレーション ーーーーー 読み取り時間の延長
午前/問題30
MRIがX線CTよりも診断に有用なのはどれか。2つ選べ。
1.半月板損傷
2.急性虫垂炎
3.消化管孔
4.椎間板ヘルニア
5.急性くも膜下出血
午前/問題31
磁化率効果による位相分散の大きさの順序で正しいのはどれか。
1.EPI > FSE > SE > GRE
2.EPI > GRE > SE > FSE
3.EPI > GRE > FSE > SE
4.GRE > EPI > SE > FSE
5.GRE > EPI > FSE > SE
午前/問題32
MR像と得られる情報の組合せで正しいのはどれか。
1.diffusion MRI ーーーーー 組織灌流血液量
2.perfusion MR ーーーーー 水分子拡散
3.functional MRI ーーーーー リン脂質代謝
4.磁化率強調画像 ーーーーー 小出血巣
5.拡散テンソル画像 ーーーーー 血管の三次元解剖
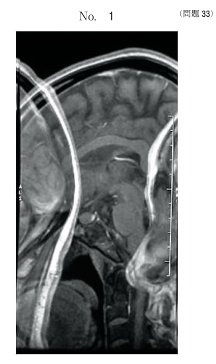
午前/問題33
頭部MR矢状断像において生じるアーチファクトを除去する方法はどれか。
1.加算回数を増やす。
2.位相エンコード数を増やす。
3.受信周波数帯域を拡大する。
4.被検者の体表金属を除去する。
5.検査室の電波シールドを修繕する。
 
午前/問題34
経口MR造影剤はどれか。2つ選べ。
1.塩化マンガン四水和物
2.クエン酸鉄アンモニウム
3.超常磁性体酸化鉄コロイド(SPIO)
4.ガドペンテト酸メグルミン(Gd-DTPA)
5.ガドキセト酸ナトリウム(Gd-EOB-DTPA)
午前/問題35
脂肪が最も高信号に描出されるMR撮影法はどれか。
1.STIR法
2.水選択励起法
3.シングルショットFSE法
4.TE<15msのT1強調SE法
5.TE>100msのT2強調SE法
午前/問題36
MRI検査室でクエンチングが発生した直後の対応で正しいのはどれか。2つ選べ。
1.排気システムを作動させる。
2.二酸化炭素濃度を確認する。
3.患者を検査室外へ退避させる。
4.クライオスタットに熱湯を注入する。
5.超電導磁石を他の安全な場所に移動させる。
午前/問題37
ドップラー超音波検査で発生するアーチファクトはどれか。
1.折り返し
2.位相分散
3.化学シフト
4.クロストーク
5.トランケーション
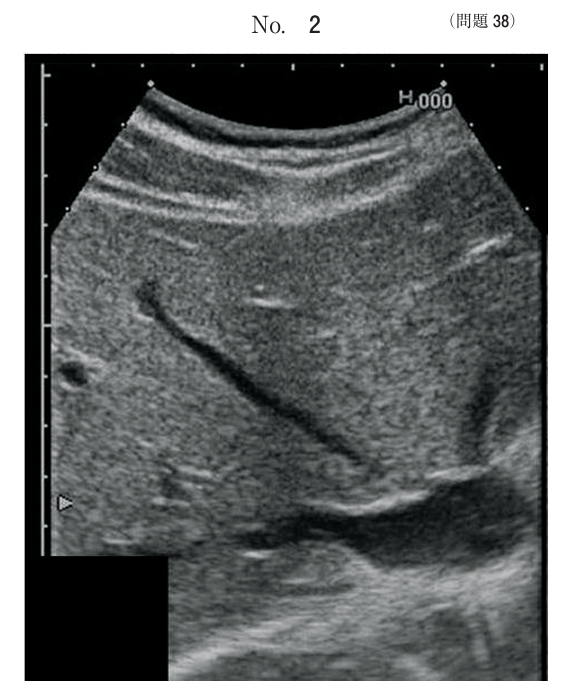
午前/問題38
腹部超音波画像別冊No. 2 を別に示す。
走査法はどれか。
1.左肋間走査
2.右肋間走査
3.右肋骨弓下走査
4.右季肋部縦断走査
5.心窩部 正中縦断走査
 
午前/問題39
超音波による骨塩定量で最もよく用いられる測定部位はどれか。
1.上顎骨
2.舌骨
3.胸骨
4.仙骨
5.踵骨
午前/問題40
胆囊腺筋腫症で観察されやすい超音波所見はどれか。
1.ハンプサイン
2.コメットサイン
3.クラスターサイン
4.カメレオンサイン
5.ブルズアイサイン
午前/問題41
無散瞳眼底カメラによる検査で正しいのはどれか。
1.撮影画角は90度である。
2.撮影光には赤外線を使用する。
3.眼底後極部の観察が可能である。
4.記録媒体として光電子増倍管を用いる。
5.アーチファクトとしてミラージュ現象がある。
午前/問題42
無散瞳眼底写真撮影で正しいのはどれか。
1.眼瞼部をアルコール消毒する。
2.画像はシャウカステンで観察する。
3.撮影終了直後から車の運転を許可してよい。
4.眼底出血が疑われる場合の撮影は禁忌である。
5.ハードコンタクトレンズは装着したまま撮影できる。
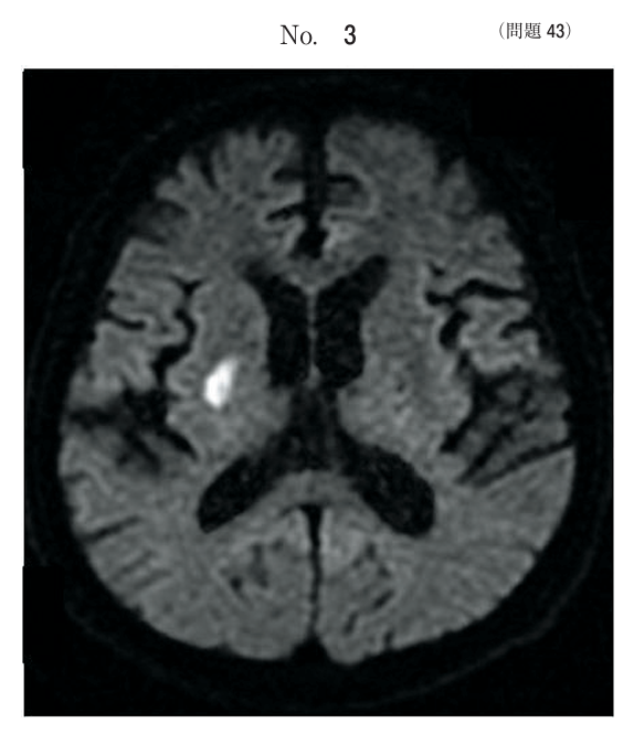
午前/問題43
発症2時間後の右基底核梗塞のMR像において、画像の種類はどれか。
1.FLAIR像
2.T1強調像
3.T2強調像
4.拡散強調像
5.プロトン密度像
 
午前/問題44
頭部MRA像で動脈瘤を認める部位はどれか。
1.内頸動脈
2.椎骨動脈
3.脳底動脈
4.中大脳動脈
5.前大脳動脈
 
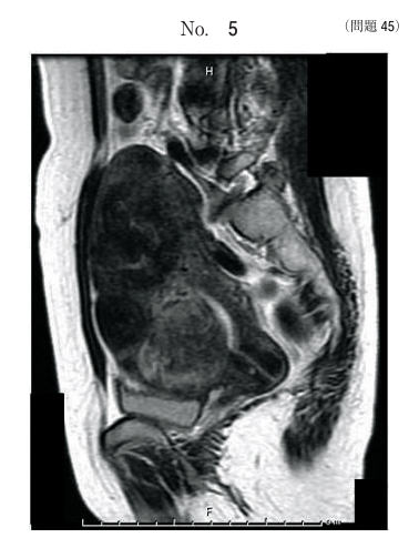
午前/問題45
女性骨盤のMR像で描出されている病変はどれか。
1.腟癌
2.膀胱癌
3.直腸癌
4.子宮筋腫
5.子宮頸癌
 
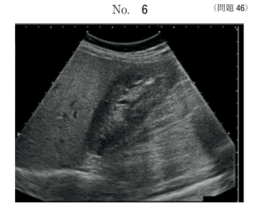
午前/問題46
上腹部超音波検査において、考えられる病変はどれか。
1.水腎症
2.腎結石
3.脂肪肝
4.閉塞性黄疸
5.肝内胆管結石
 
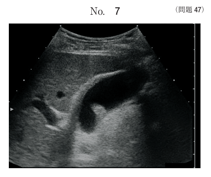
午前/問題47
胆囊病変の超音波画像において考えられる所見はどれか。
1.結石
2.胆泥
3.胆囊炎
4.腺筋腫症
5.コレステロールポリープ
 
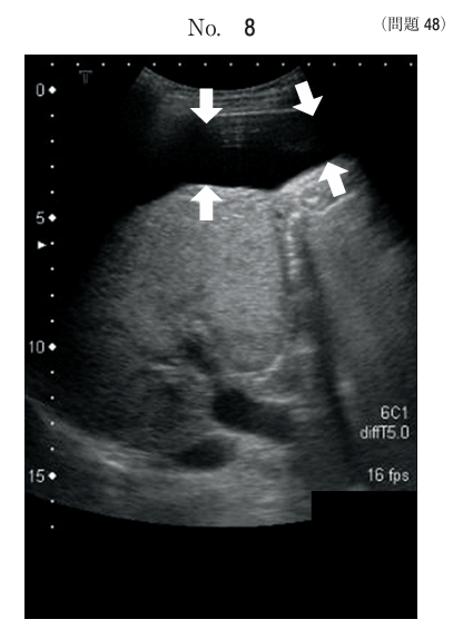
午前/問題48
上腹部超音波画像で矢印で示す低エコー領域はどれか。
1.門脈
2.腹水
3.胆囊
4.下大静脈
5.皮下脂肪
 
午前/問題49
核医学検査従事者の対応で正しいのはどれか。2つ選べ。
1.除染は汚染レベルの低い方から行う。
2.検査方法の説明は放射性医薬品投与前に行う。
3.患者を介護する家族には被ばくの説明をしない。
4.放射性医薬品の入ったバイアル内は陽圧にする。
5.SPECTの撮影開始後に撮影室に入るときは撮影を一時停止する。
午前/問題50
PETの安全管理で正しいのはどれか。
1.陽電子診療室は撮影操作をする場所である。
2.室に複数の陽電子断層撮影装置を設置できる。
3.PET用放射性医薬品の投与は陽電子準備室で行う。
4.陽電子待機室の設置目的は被検者以外の被ばく防止である。
5.診療にあたる診療放射線技師は、所定の研修を修了しなければならない。
午前/問題51
投与から撮影までの時間が最も長いのはどれか。
1.67Ga ーーーーー クエン酸ガリウム
2.99mTc ーーーーー MDP
3.111In ーーーーー 塩化インジウム
4.123I ーーーーー MIBG
5.131I ーーーーー アドステロール
午前/問題52
健常成人で 99mTcO4 安静注 10 分後の描出が最も弱い臓器はどれか。
1.胃
2.肺
3.腎臓
4.甲状腺
5.唾液腺
午前/問題53
門脈内に留置したカテーテルから 99mTc – MAA を注入した。最も強く描出されるのはどれか。
1.肺
2.肝臓
3.膵臓
4.脾臓
5.腎臓
午前/問題54
ガンマカメラの性能評価で正しいのはどれか。
1.エネルギー分解能は半価層で表す。
2.計数率特性は線源減弱法で求める。
3.固有直線性の評価には面線源を用いる。
4.総合均一性の評価には点線源を用いる。
5.固有空間分解能の評価には線状線源を用いる。
午前/問題55
中エネルギー用コリメータが適しているのはどれか。2つ選べ。
1.67Ga
2.99mTc
3.111In
4.131I
5.201Tl
午前/問題56
SPECT 画像で生じるリング状アーチファクトの原因として考えられるのはどれか。2つ選べ
1.検出器の均一性が低い。
2.回転中心がずれている。
3.対象臓器が視野外である。
4.対象臓器の動きが大きい。
5.視野内に高集積部位がある。
午前/問題57
OS – EM による SPECT 再構成で誤っているのはどれか。
1.画素値の総和が保存される。
2.適切な初期値を必要とする。
3.線状アーチファクトが少ない。
4.近似回数が多いほど雑音が低減する。
5.サブセット数を増やすと計算時間を短縮できる。
午前/問題58
PET で正しいのはどれか。
1.SPECT よりも空間分解能が低い。
2.投与量と偶発同時計数は逆比例する。
3.検出器リング径が小さいほど感度は低下する。
4.検出器結晶が小さいほど空間分解能は低下する。
5.陽電子の飛程が長いほど空間分解能は低下する。
午前/問題59
PET の三次元収集法と二次元収集法とを比較したとき、三次元収集法の特徴で正しいのはどれか。
1.感度が高い。
2.偶発同時計数が少ない。
3.散乱同時計数が少ない。
4.水平断の空間分解能に優れる。
5.スライス間の感度均一性が高い。
午前/問題60
有効視野 51 cm のガンマカメラで 1.5 倍拡大の撮影を行う場合、収集マトリクスを 64×64 とすると、ナイキスト周波数(cycles/cm)はどれか。
1.0.42
2.0.53
3.0.84
4.0.94
5.1.88
午前/問題61
脳血流 SPECT 軸位断像(別冊No. 9)を別に示す。視床はどれか。
1.ア
2.イ
3.ウ
4.エ
5.オ
 
午前/問題62
脳血流シンチグラフィに用いないのはどれか。
1.99mTc – ECD
2.99mTc – HMPAO
3.123I – IMP
4.123I – イオマゼニール
5.133Xe
午前/問題63
肺換気シンチグラフィで正しいのはどれか。
1.81mKr は SPECT に適さない。
2.81mKr の方が 133Xe よりも半減期が長い。
3.133Xe はジェネレータから溶出する。
4.133Xe は洗い出し検査に適している。
5.133Xe の方が 81mKr よりも測定する γ 線のエネルギーが高い。
午前/問題64
急性心筋梗塞巣を陽性像として描出するのはどれか。
1.99mTc – MIBI
2.99mTc – テトロホスミン
3.99mTc – ピロリン酸
4.123I – BMIPP
5.123I – MIBG
午前/問題65
99mTc – GSA 肝受容体シンチグラフィで正しいのはどれか。
1.肝血管腫は高集積になる。
2.胆道閉鎖症の診断に用いる。
3.肝硬変では骨髄集積が増加する。
4.肝臓に分布する神経受容体を反映する。
5.肝機能低下で心プールの描出が遷延する。
午前/問題66
99mTc – MAG を用いた腎動態シンチグラフィで正しいのはどれか。
1.放射性医薬品投与前は排尿を制限する。
2.左右それぞれの腎臓の機能を測定できる。
3.腎機能の定量には動脈採血が必要である。
4.放射性医薬品投与前は 4 時間以上絶食する。
5.腎血管性高血圧症の診断にはフロセミドを投与する。
午前/問題67
欠損状のアーチファクトが生じた骨シンチグラム(別冊No. 10)を別に示す。最初に行うべき対応はどれか。
1.吸収補正を行う。
2.感度補正を行う。
3.患者の着衣を点検する。
4.シンチレータを交換する。
5.光電子増倍管を調整する。
 
午前/問題68
18F – FDG 腫瘍 PET で誤っているのはどれか。
1.撮影前に排尿する。
2.気管支喘息は禁忌である。
3.18F – FDG 投与後は安静にする。
4.18F – FDG 投与前に血糖値を測定する。
5.集積程度の定量的な評価に SUV を用いる。
午前/問題69
診療放射線技師の対応として適切なのはどれか。
1.治療台への移動の際に介助した。
2.患者に聞かれたので病名を告げた。
3.患者を安心させるため他の患者の治療経過を教えた。
4.外部照射期間中の患者に小児を近づけないよう指導した。
5.照射すべき範囲が照射野から一部外れていたが黙っていた。
午前/問題70
放射線治療中の患者の誤認を防ぐ方法で最も有効なのはどれか。
1.顔写真で確認する。
2.病室番号で確認する。
3.患者の名前をフルネームで呼ぶ。
4.患者に名前をフルネームで名乗ってもらう。
5.患者の持っている診察券で名前を確認する。
午前/問題71
線量分布には優れていないが生物学的効果に優れているのはどれか。
1.炭素線
2.陽子線
3.速中性子線
4.コバルト γ 線
5.高エネルギー X 線
午前/問題72
一定半径の円周に沿って粒子を加速するのはどれか。
1.リニアック
2.バンデグラフ
3.サイクロトロン
4.シンクロトロン
5.マイクロトロン
午前/問題73
外部放射線治療装置の保守管理プログラムの試験項目と点検頻度の組合せで誤っているのはどれか。
1.X 線照射野の確認(毎月)
2.X 線深部線量曲線測定(年ごと)
3.治療台天板の高さ確認(毎月)
4.線量モニタシステムの校正(年ごと)
5.リファレンス線量計の校正(年ごと)
午前/問題74
外部放射線治療の吸収線量評価の際に用いる線質変換係数で正しいのはどれか。2つ選べ。
1.電離箱の壁材質に依存しない。
2.電子線では残余飛程の関数で表される。
3.コバルト 60 γ 線に対する値は 1 である。
4.重粒子線では深部量半価深の関数で表される。
5.基準線質に対する測定対象線質の水吸収線量校正定数の比として定義される。
午前/問題75
照射野 10 cm × 10 cm の条件で下図の組織最大線量比を示す高エネルギー X 線
100 MU の照射に対し、校正点でリファレンス線量計により 15 nC を得た。
このとき DMU の値(Gy/MU)として最も近いのはどれか。
ただし、リファレンス線量計の水吸収線量校正定数は 50 mGy/nC、測定時の温度と気圧はそれぞれ 22 ℃、1013 hPa であり、イオン再結合や極性効果は無視できるものとする。
 
1.0.0075
2.0.010
3.0.10
4.0.75
5.1.0
午前/問題76
標準測定法 01 における X 線および γ 線の吸収線量測定で正しいのはどれか。2つ選べ。
1.ファーマ形電離箱を用いる。
2.実効中心は 0.5 rcyl 前方である。
3.TMR 測定には実効中心「変位法」を用いる。
4.校正点吸収線量測定には実効中心「変位法」を用いる。
5.リファレンス線量計の校正時には実効中心「変位法」を用いる。
午前/問題77
高エネルギー X 線の照射野の大きさと出力係数との関係を示したグラフはどれか。
 
午前/問題78
高エネルギー電子線の線量測定で正しいのはどれか。2つ選べ。
1.校正深は 10 cm である。
2.指頭形電離箱は使用しない。
3.セットアップには SSD 法を使用する。
4.線質指標として深部量半価深が用いられる。
5.深部量百分率は深部電離量百分率に等しい。
午前/問題79
最深部3 cm の腫瘤に対し、9 MeV 電子線を用いて照射野 12 cm × 12 cm で治療する。処方線量2 Gy での MU 値はどれか。
ただし、出力係数は 1.02、DMU は 1.0 cGy/MU、深度3 cm の PDD は 82 %、吸収線量最大深は 2.0 cm とする。
1.196
2.200
3.239
4.244
5.249
午前/問題80
標的に対し同一線量を投与した場合、皮膚線量が最も高くなるのはどれか。
1.6 MV X 線で前立腺に IMRT 照射を行う。
2.6 MV X 線で乳房に接線対向二門照射を行う。
3.6 MV X 線で転移性脳腫瘍に定位放射線照射を行う。
4.10 MV X 線で肺門部に前後対向二門照射を行う。
5.10 MV X 線で全骨盤リンパ節に前後対向二門照射を行う。
午前/問題81
高エネルギー X 線で誤っているのはどれか。
1.PDD は SSD によって変わる。
2.PDD は照射野によって変わる。
3.TMR は SSD によって変わる。
4.TMR は照射野によって変わる。
5.TMR はエネルギーによって変わる。
午前/問題82
全骨盤照射を行う場合、耐容線量が最も低いのはどれか。
1.腟
2.小腸
3.卵巣
4.膀胱
5.直腸
午前/問題83
放射線単独で根治的治療を行う場合、総線量が最も低いのはどれか。
1.肺腺癌
2.喉頭癌
3.前立腺癌
4.子宮頸癌
5.松果体胚腫
午前/問題84
放射線治療可能比を高める効果があるのはどれか。
1.総線量の増加
2.多分割照射法
3.回線量の増加
4.照射範囲の拡大
5.総治療期間の延長
午前/問題85
多分割照射法が有効なのはどれか。
1.膠芽腫
2.中咽頭癌
3.前立腺癌
4.精上皮腫
5.胃悪性リンパ腫
午前/問題86
定位放射線照射が適応となるのはどれか。
1.髄芽腫
2.脳動脈瘤
3.悪性神経膠腫
4.多発性硬化症
5.転移性脳腫瘍
午前/問題87
分化型甲状腺癌の内照射療法に用いるのはどれか。
1.60Co
2.131I
3.137Cs
4.192Ir
5.222Rn
午前/問題88
子宮頸癌の根治的放射線治療を行った場合に生じる急性期の有害事象はどれか。2つ選べ
1.下痢
2.下肢浮腫
3.食欲不振
4.骨盤骨折
5.皮膚萎縮
午前/問題89
2進数 1100100 を10進数に変換したのはどれか。
1.140
2.142
3.144
4.146
5.148
午前/問題90
論理回路を図に示す。
図と等価の回路はどれか。
 
1.OR 回路
2.AND 回路
3.NOR 回路
4.Ex-OR 回路
5.NAND 回路
午前/問題91
機能と対応装置の組合せで正しいのはどれか。
1.入力 ─ モデム
2.演算 ─ ROM
3.記憶 ─ CPU
4.通信 ─ HUB
5.出力 ─ タッチパネル
午前/問題92
増感紙 – フィルム系の特性曲線で正しいのはどれか。ただし、ベース濃度をDB、カブリ濃度をDFとする。
1.フィルムの粒状度が分かる。
2.ラチチュードが狭いほどコントラストは低い。
3.グラディエント曲線は特性曲線全体を微分した曲線である。
4.相対感度は濃度(DB + DF + 1.0)の比露光量の対数の逆数を比較したものである。
5.平均階調度は低濃度部(DB + DF + 0.25)と高濃度部(DB + DF + 2.25)の2点間の傾きで表す。
午前/問題93
写真用薬品で誤っているのはどれか。
1.フェニドンは現像主薬である。
2.臭化カリウムは抑制剤である。
3.炭酸ナトリウムは保恒剤である。
4.現像液の pH は定着液の pH よりも高い。
5.チオ硫酸アンモニウムは迅速定着液に用いられる。
午前/問題94
アナログ画像のデジタル化で正しいのはどれか。2つ選べ。
1.D/A 変換を用いる。
2.標本化間隔が小さいほどアナログ情報に近くなる。
3.量子化レベル数が小さいほど量子化誤差は減少する。
4.ナイキスト周波数は標本化間隔の逆数のπ倍で表現される。
5.標本化定理を満足しない間隔で標本化するとトランケーション誤差が生じる。
午前/問題95
スパイク状ノイズの除去に効果的なのはどれか。
1.Sobel フィルタ
2.ハイパスフィルタ
3.メディアンフィルタ
4.ガウシアンフィルタ
5.ラプラシアンフィルタ
午前/問題96
医療情報システムにおける個人情報保護で正しいのはどれか。2つ選べ。
1.生体情報認証システムの導入
2.アクセスログの定期的な監視
3.患者本人の了解がない家族への情報開示
4.電子メールを用いた院外者との患者情報の交換
5.紛失を避けるための医療従事者個人でのデータ保存
午前/問題97
診療録等の電子媒体による保存の条件として、見読性と保存性とに加えて挙げられているのはどれか。
1.安全性
2.確実性
3.正確性
4.真正性
5.復元性
午前/問題98
医用モニタの品質管理における試験項目で、測定器具を使用するのはどれか。
1.解像度
2.最大輝度
3.幾何学的歪み
4.アーチファクト
5.グレースケール
次の問題へ>> 午後問題(102問)

<<前の問題へ 午後問題(102問)
https://rad-kokushi.com/63th-rt-exam-pm-questions/
 
											 
							
							
							
															 
							
							
							
															 
							
							
							
															 
										
					 
         
										
										
										
																	 
										
										
										
																	 
										
										
										
																	 
										
										
										
																	 
										
										
										
																	 
										
										
										
																	 
										
										
										
																	


