午前/問題1
原子番号がZ、質量数がAの核種について、放射性壊変の形式と壊変によるZとAの変化との組合せで正しいのはどれか。2つ選べ。
1.α壊変 ーーーーー Z,A
2.β+壊変 ーーーーー Z-1,A
3.β–壊変 ーーーーー Z+1,A
4.核異性体転移 ーーーーー Z-1,A
5.軌道電子捕獲 ーーーーー Z-2,A-4
午前/問題2
99Mo-99mTcジェネレータで正しいのはどれか。2つ選べ。
1.永続平衡が成立する。
2.ミルキングによって99Moが溶出する。
3.吸着剤として陽イオン交換樹脂を用いる。
4.ジェネレータ内で娘核種の放射能は極大値を示す。
5.放射平衡に達すると親核種と娘核種の放射能比は一定となる。
午前/問題3
放射化学分離で正しいのはどれか。
1.ラジオコロイドはイオン交換樹脂に吸着する。
2.保持担体は目的以外の放射性核種を溶液から除く役割をする。
3.スカベンジャは共存する放射性核種を溶液に残す役割をする。
4.比放射能は元素または化合物の単位容積当たりの放射能である。
5.共沈法では目的放射性核種に類似する化学的性質の非同位体担体を用いる。
午前/問題4
PET薬剤の合成で正しいのはどれか。
1.17O を用いて標識化合物の合成を行う。
2.15O は標識化合物の合成が不可能である。
3.18F-FDGはフルクトースの誘導体である。
4.標識合成は短時間で効率良く行わなければならない。
5.18F-FDGの合成方法には18O–イオンを用いるイオン法がある。
午前/問題5
インバータ式X線装置で正しいのはどれか。2つ選べ。
1.インバータ周波数が高いほど高電圧変圧器の鉄損が減少する。
2.電源周期と無関係にX線を発生および遮断することができる。
3.直列共振回路で流れる電流は共振周波数をピークとした山形となる。
4.DC-DCコンバータは非共振形インバータ式X線装置には不要である。
5.インバータ周波数が高いほど単位時間当たりのスイッチング損失は減少する。
午前/問題6
焦点外X線で正しいのはどれか。
1.焦点近傍で最も多く発生する。
2.線質は焦点近傍ほど硬質となる。
3.X線写真のコントラストを向上させる。
4.集束電極で集束されなかった電子によって生じる。
5.発生する量は固定陽極の方が回転陽極よりも多い。
午前/問題7
X線高電圧装置でフィードバック制御を行うのはどれか。
1.自己整流X線装置
2.インバータ式X線装置
3.コンデンサ式X線装置
4.単相ピーク形X線装置
5.三相12ピーク形X線装置
午前/問題8
I.I. の性能表示で正しいのはどれか。2つ選べ。
1.変換係数
2.最大輝度
3.時間分解能
4.輝度均一性
5.量子検出効率
午前/問題9
超音波画像診断装置の探触子の構成部品でないのはどれか。
1.振動子
2.整合層
3.音響レンズ
4.パッキング材
5.光電子増倍管
午前/問題10
デジタル検出器で正しいのはどれか。
1.量子化を行った後に標本化を行う。
2.FPDとCRの画像性能を比較するのにDQEを用いる。
3.直接変換方式FPDではアモルファスシリコンで電荷に変換する。
4.間接変換方式FPDではシンチレータの厚みは50μm程度である。
5.CRでは読み取り終了後、赤外光を照射して残存データを消去する。
午前/問題11
X線CT装置で検出器の出力を最初に受け取るのはどれか。
1.PACS
2.画像処理装置
3.再構成演算装置
4.画像データ保存装置
5.データ収集システムDAS
午前/問題12
MRI装置の静磁場が強い場合、正しいのはどれか。
1.SARが低下する。
2.縦緩和時間が短縮する。
3.T2*による影響が減少する。
4.撮影可能な範囲が狭くなる。
5.Larmorラーモア周波数は低くなる。
午前/問題13
MRI装置で正しいのはどれか。2つ選べ。
1.永久磁石は磁気材料の温度依存性が少ない。
2.永久磁石は超電導磁石に比べ維持費が安い。
3.超電導磁石の静磁場方向は体軸に平行である。
4.常電導磁石は常時液体ヘリウムで冷却する必要がある。
5.超電導磁石は超電導状態になれば液体ヘリウムは必要ない。
午前/問題14
造影剤自動注入器の使用で誤っているのはどれか。
1.MRIの造影剤自動注入器にシリンジタイプ造影剤を用いる。
2.MRIに用いる造影剤自動注入器は超音波モータを使用している。
3.血管造影検査に用いる造影剤自動注入器はX線制御装置と連動する。
4.CTコロノグラフィでは硫酸バリウムを造影剤自動注入器で注入する。
5.X線CTにはデュアルインジェクタヘッドの造影剤自動注入器を使用する。
午前/問題15
MRIで撮影時間が1/2になるのはどれか。
1.加算回数を倍にする。
2.SENSE factor を倍にする。
3.位相エンコード数を倍にする。
4.周波数エンコード数を1/2にする。
5.高速スピンエコー法のエコートレイン数を1/2にする。
午前/問題16
MRAで正しいのはどれか。
1.PC法は血流の方向にMPGパルスを印加する。
2.PC法はvelocity encoding の設定が必要である。
3.TOF法は流速の定量評価が可能である。
4.TOF法は血流による位相変化を利用している。
5.TOF法は撮影断面と平行な血管を描出しやすい。
午前/問題17
正常脳の1H-MRS別冊No. 1 を別に示す。矢印で示す代謝物はどれか。
1.乳酸
2.コリン化合物
3.クレアチン化合物
4.ミオイノシトール
5.N-アセチルアスパラギン酸(NAA)
午前/問題18
Gd-EOB-DTPAで正しいのはどれか。
1.経口投与する。
2.強磁性体である。
3.尿中には排泄されない。
4.肝細胞に特異的に集積する。
5.高齢者への投与は禁忌である。
午前/問題19
超音波検査で正しいのはどれか。
1.胆囊の検査は空腹時に行う。
2.血流計測にMモード法を用いる。
3.乳腺の検査では前処置として絶食させる。
4.心臓ペースメーカ装着者の検査は禁忌である。
5.甲状腺の検査には腹部よりも低い周波数のプローブを用いる。
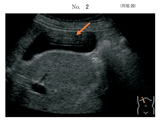
午前/問題20
胆囊の超音波像別冊No. 2 を別に示す。矢印で示すアーチファクトの要因はどれか。
1.鏡面現象
2.多重反射
3.音響陰影
4.サイドローブ
5.後方エコーの増強
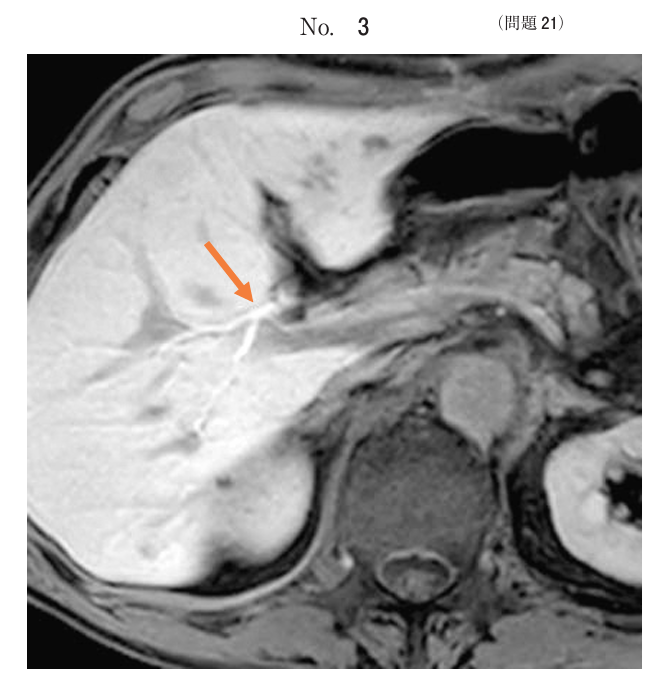
午前/問題21
Gd-EOB-DTPA投与20分後の腹部MRIの脂肪抑制T1強調像別冊No. 3 を別に示す。矢印で示す構造はどれか。
1.胆管
2.膵管
3.門脈
4.肝動脈
5.肝静脈
午前/問題22
頭部MRIのT2強調横断像別冊No. 4A と点線のレベルのT1強調冠状断像別冊No. 4B を別に示す。矢印で示す構造はどれか。
1.上直筋
2.下直筋
3.眼動脈
4.視神経
5.動眼神経
午前/問題23
肝臓のMR像別冊No. 5 を別に示す。左葉にみられるのはどれか。
1.浮腫
2.壊死
3.鉄沈着
4.脂肪沈着
5.ヨウ素沈着
午前/問題24
超音波像で境界明瞭な無エコー像として描出されるのはどれか。
1.肝硬変
2.肝囊胞
3.肝膿瘍
4.脂肪肝
5.肝血管腫
午前/問題25
腎臓の糸球体でろ過されるが、尿細管では分泌も再吸収もされない放射性医薬品はどれか。
1.99mTc-DMSA
2.99mTc-DTPA
3.99mTc-ECD
4.99mTc-MAG3
5.99mTc-MIBI
午前/問題26
ガンマカメラの性能とその評価に使用するものとの組合せで正しいのはどれか。
1.総合直線性 ーーーーー 線線源
2.総合分解能 ーーーーー 面線源
3.固有空間分解能 ーーーーー 点線源
4.固有計数率特性 ーーーーー バーファントム
5.固有エネルギー分解能 ーーーーー スリットファントム
午前/問題27
SPECTのデータ収集で正しいのはどれか。
1.360 度収集は180度収集よりも定量性が低い。
2.収集カウントが倍になるとSN比は倍になる。
3.円軌道収集は近接軌道収集よりも空間分解能が高い。
4.ピクセルサイズはシステム分解能の倍以上とする。
5.ステップ収集では検出器の静止時にデータは収集されない。
午前/問題28
ダイナミック収集によって算出する指標はどれか。
1.Na123Iを用いた甲状腺摂取率
2.18F-FDGを用いたSUVmax
3.123I-MIBGを用いた心縦隔比
4.99mTc-ECDを用いた局所脳血流量
5.99mTc-MAAを用いた右左シャント率
午前/問題29
123Iと組み合わせて核種同時収集に用いられる頻度の高い核種はどれか。
1.67Ga
2.81mKr
3.111In
4.131I
5.201Tl
午前/問題30
心電図同期心筋SPECTにおける解析で正しいのはどれか。
1.左室肥大の影響を受けない。
2.拡張期の心機能指標は得られない。
3.小さな心臓では左室容量が過小評価となる。
4.R-R間隔の分割数が多くなるとSN比が向上する。
5.R-R間隔の分割数が少なくなると収縮末期容量は過小評価となる。
午前/問題31
認知症の核医学検査で正しいのはどれか。
1.123I-IMP投与時間後の画像で診断する。
2.123I-MIBGの心臓の集積は前頭側頭型認知症で低下する。
3.画像統計解析では若年健常者から得られたデータベースと比較する。
4.123I-イオマゼニルはLewy小体型認知症の診断に用いられる。
5.早期のAlzheimer型認知症では前頭葉の血流は保たれる。
午前/問題32
肺の核医学検査で正しいのはどれか。
1.肺塞栓症では換気の低下を認める。
2.99mTc-MAAの分布は投与するときの体位の影響を受ける。
3.133Xeを用いた肺換気シンチグラフィでは側面像を撮影する。
4.99mTcガスを用いた肺換気シンチグラフィではSPECT撮影はできない。
5.81mKrを使用した肺換気シンチグラフィでは肺からの洗い出しを評価する。
午前/問題33
骨シンチグラフィで正しいのはどれか。
1.放射性医薬品として99mTc標識リン酸化合物を用いる。
2.排尿後に放射性医薬品を投与する。
3.患者は投与から撮影開始までの間は検査室外に出られない。
4.投与後約30分で撮影を開始する。
5.検査当日の入浴を禁止する。
午前/問題34
ガリウムシンチグラフィが有用な疾患はどれか。
1.胃癌
2.腎癌
3.子宮体癌
4.前立腺癌
5.悪性リンパ腫
午前/問題35
放射線障害防止法において、放射線業務従事者が初めて管理区域に立ち入る前に行う健康診断で必要項目はどれか。2つ選べ。
1.肝機能
2.腎機能
3.赤血球数
4.白血球百分率
5.血清ナトリウム値
午前/問題36
放射線治療が適応とならないのはどれか。
1.小児
2.妊婦
3.高齢者
4.全身状態不良者
5.妊娠可能年齢の女性
午前/問題37
リニアックで正しいのはどれか。
1.電子ビームは偏向磁石で集束される。
2.加速管は遮へい能力の高い鉛製である。
3.クライストロンはマイクロ波増幅管である。
4.進行波型は定在波型に比べ加速管を短くできる。
5.フラットニングフィルタは電子線治療に用いられる。
午前/問題38
物理的半減期が最も短いのはどれか。
1.60Co
2.125I
3.137Cs
4.192Ir
5.198Au
午前/問題39
放射線治療の品質管理で正しいのはどれか。2つ選べ。
1.X線照射野は月回点検する。
2.コミッショニングは納入業者が行う。
3.リファレンス線量計は年回校正を受ける。
4.モニタ線量計の校正には固体ファントムを使用する。
5.投与線量で許容される不確かさは処方線量の案10%以内である。
午前/問題40
PDD、TAR、TPRの定義で正しいのはどれか。2つ選べ。
午前/問題41
リスク臓器の線量低減の方法で誤っているのはどれか。
1.不整形照射野
2.楔状フィルタ
3.斜入二門照射
4.ノンコプラナ照射
5.強度変調放射線治療IMRT
午前/問題42
密封小線源治療で正しいのはどれか。
1.125Iの半減期は110日である。
2.舌癌にはモールド法を用いる。
3.高線量率線源として125Iを用いる。
4.前立腺癌の永久刺入線源に60Coを用いる。
5.子宮頸癌ではアプリケータとしてタンデムとオボイドを用いる。
午前/問題43
早期声門癌に用いる照射法はどれか。
1.四門照射
2.回転照射
3.前一門照射
4.前後対向二門照射
5.左右非対向二門照射
午前/問題44
根治的放射線治療に用いる線量が最も高いのはどれか。
1.膠芽腫
2.食道癌
3.小細胞肺癌
4.前立腺癌
5.悪性リンパ腫
午前/問題45
同一数値を表す16進数と10進数の組合せで正しいのはどれか。
1.AB ーーーーー 10101001
2.BD ーーーーー 10011101
3.EC ーーーーー 11101100
4.F1 ーーーーー 11110010
5.F8 ーーーーー 11111110
午前/問題46
透過光が入射光の5%になるフィルムAと2%になるフィルムBがある。これら2枚のフィルムを重ねて観察したときの写真濃度に最も近いのはどれか。
1.0.001
2.0.07
3.1.0
4.2.2
5.3.0
午前/問題47
Fourier変換で正しいのはどれか。
1.奇関数のFourier変換は実数になる。
2.Fourier変換で得られる周波数成分には虚部と実部がある。
3.画像のパワースペクトルを逆Fourier変換すると元の画像になる。
4.畳み込み積分のFourier変換はそれぞれのFourier変換の和に等しい。
5.Fourier変換で得られるスペクトルの絶対値をパワースペクトルという。
午前/問題48
診療録等の電子保存における見読性の確保の説明はどれか。2つ選べ。
1.復元可能な状態であること。
2.作成責任者の識別ができること。
3.過失による消去を防止できること。
4.情報内容を直ちに書面に表示できること。
5.必要に応じて情報内容を肉眼で確認できること。
午前/問題49
医用モニタの不変性試験項目のうち、目視確認を行うのはどれか。
1.色度
2.照度
3.最大輝度
4.輝度均一性
5.コントラスト応答
午前/問題50
下垂体後葉から分泌されるのはどれか。
1.成長ホルモン
2.バソプレシン
3.ソマトスタチン
4.甲状腺刺激ホルモン
5.副腎皮質刺激ホルモン
午前/問題51
解剖学的に正しいのはどれか。
1.母指は尺側にある。
2.前腕は上腕の近位にある。
3.頸部は体幹の尾側にある。
4.脊柱は体幹の腹側にある。
5.寛骨は仙骨の外側にある。
午前/問題52
細胞周期で細胞中のDNA量が多いのはどれか。2つ選べ。
1.G0期
2.G1期
3.G2期
4.M期
5.S期
午前/問題53
咀嚼に関わるのはどれか。
1.下直筋
2.頸長筋
3.僧帽筋
4.アブミ骨筋
5.内側翼突筋
午前/問題54
脳底動脈から直接分岐するのはどれか。
1.眼動脈
2.後交通動脈
3.上小脳動脈
4.中硬膜動脈
5.中大脳動脈
午前/問題55
胃と十二指腸の構造について正しいのはどれか。
1.胃角は大弯にある。
2.胃の入り口を幽門という。
3.胃の上部の膨らんだ部分を前庭部という。
4.大十二指腸乳頭は十二指腸下行脚にある。
5.大十二指腸乳頭に総胆管と副膵管が開口する。
午前/問題56
女性の性周期で正しいのはどれか。
1.基礎体温は排卵を境に低温期となる。
2.卵胞ホルモンの分泌は排卵後に増加する。
3.卵胞期では子宮内膜の厚さは一定である。
4.月経は黄体ホルモン値の上昇に伴い終了する。
5.卵胞刺激ホルモンの分泌は排卵時にピークとなる。
午前/問題57
IgE抗体が関与するのはどれか。
1.Ⅰ型アレルギー
2.Ⅱ型アレルギー
3.Ⅲ型アレルギー
4.Ⅳ型アレルギー
5.Ⅴ型アレルギー
午前/問題58
癌の部位と最も頻度の高い組織型の組合せで正しいのはどれか。
1.舌癌 ーーーーー 腺癌
2.肺癌 ーーーーー 小細胞癌
3.食道癌 ーーーーー 腺癌
4.皮膚癌 ーーーーー 扁平上皮癌
5.膀胱癌 ーーーーー 扁平上皮癌
午前/問題59
骨折で正しいのはどれか。
1.眼窩吹き抜け骨折は眼窩外側が最も多い。
2.顔面骨折は鼻骨が最も多い。
3.椎体の圧迫骨折は頸椎が最も多い。
4.高齢者の大腿骨骨折は骨幹部が最も多い。
5.足の疲労骨折は距骨が最も多い。
午前/問題60
胃潰瘍で正しいのはどれか。
1.大弯に好発する。
2.最も多い自覚症状は吐血である。
3.十二指腸潰瘍よりも発生率は低い。
4.X線造影検査で胃癌との鑑別は容易である。
5.ヘリコバクターピロリの感染が関係している。
午前/問題61
小児に好発する腎腫瘍はどれか。
1.腎細胞癌
2.転移性腫瘍
3.悪性リンパ腫
4.血管筋脂肪腫
5.Wilms腫瘍
午前/問題62
甲状腺ホルモンの不足時にみられる症状はどれか。
1.微熱
2.多尿
3.下痢
4.徐脈
5.発汗過多
午前/問題63
脳動脈瘤の治療法はどれか。2つ選べ。
1.動脈瘤切除術
2.定位放射線照射
3.ステント内挿術
4.金属コイル塞栓術
5.動脈瘤クリッピング術
午前/問題64
三次予防はどれか。
1.がん検診
2.予防接種
3.職場の事故防止
4.地域での健康教育
5.脳梗塞後の理学療法
午前/問題65
間接電離放射線はどれか。
1.X線
2.α線
3.β線
4.電子線
5.陽子線
午前/問題66
増殖中の細胞への放射線照射後、最も早期に生じるのはどれか。
1.間期死
2.増殖死
3.突然変異
4.分裂遅延
5.アポトーシス
午前/問題67
放射線感受性が最も高いのはどれか。
1.膠芽腫
2.甲状腺未分化癌
3.小細胞肺癌
4.胃癌
5.悪性リンパ腫
午前/問題68
X線による放射線治療でBergonié-Tribondeau(ベルゴニエ・トリボンドー)の法則を考慮し設定すべきなのはどれか。
1.線量
2.固定具
3.臨床標的体積
4.計画標的体積
5.X線のエネルギー
午前/問題69
放射線治療において、長期に照射を休止した場合の治療効果の低下に最も関連が深いのはどれか。
1.再酸素化
2.加速再増殖
3.組織内壊死
4.細胞周期の再分布
5.亜致死障害からの回復
午前/問題70
光子の物理的特性で正しいのはどれか。
1.運動量はゼロである。
2.直接電離放射線である。
3.粒子性と波動性を有する。
4.エネルギーは振動数に反比例する。
5.伝播速度は媒質によらず一定である。
午前/問題71
反ニュートリノの放出を伴うのはどれか。
1.β–壊変
2.β+壊変
3.内部転換
4.核異性体転移
5.軌道電子捕獲
午前/問題72
光電効果で正しいのはどれか。
1.軌道電子との弾性散乱である。
2.断面積は吸収端で急激に変化する。
3.光電子の反跳角は原子に固有の値となる。
4.L吸収端のエネルギーはK吸収端より高い。
5.入射光子と光電子の運動エネルギーは等しい。
午前/問題73
電子線に対する鉛の放射阻止能と衝突阻止能が等しくなるエネルギー(MeV)として最も近いのはどれか。
1.8
2.10
3.80
4.100
5.1,600
午前/問題74
中性子で正しいのはどれか。2つ選べ。
1.直接電離放射線である。
2.自由な中性子はβ安壊変する。
3.252Cfの自発核分裂で放出される。
4.原子核のCoulomb(クーロン)場で散乱する。
5.熱中性子の最頻エネルギーは約2.5eVである。
午前/問題75
電磁誘導に関係するのはどれか。2つ選べ。
1.Ohm(オーム)の法則
2.Lenz(レンツ)の法則
3.Joule(ジュール)の法則
4.Faraday(ファラデー)の法則
5.Kirchhoff(キルヒホッフ)の法則
午前/問題76
正弦波交流の実効値(Ve)と平均値(Va)の比(Ve:Va)はどれか。
1.π:1
2.π:√2
3.π:√3
4.π:2
5.π:2√2
午前/問題77
半導体の性質で正しいのはどれか。2つ選べ。
1.熱電効果が現れる。
2.磁界によってホール効果が現れる。
3.光照射によって電気抵抗率が高くなる。
4.温度が高くなると電気抵抗率が高くなる。
5.微量不純物の添加量に比例して電気抵抗率が高くなる。
午前/問題78
物理量と放射線の組合せで正しいのはどれか。2つ選べ。
1.W値 ーーーーー 電子線
2.カーマ ーーーーー 炭素線
3.阻止能 ーーーーー 中性子線
4.照射線量 ーーーーー γ線
5.質量エネルギー吸収係数 ーーーーー X線
午前/問題79
発光現象を利用した検出器はどれか。2つ選べ。
1.電離箱
2.GM計数管
3.比例計数管
4.シンチレーション検出器
5.熱ルミネッセンス線量計
午前/問題80
吸収線量で正しいのはどれか。
1.熱量計によって絶対測定ができる。
2.制限質量衝突阻止能比に反比例する。
3.測定値の温度気圧補正にはBoagの式が用いられる。
4.過渡電子平衡が成立するときは衝突カーマに等しい。
5.霧箱ではBragg-Gray(ブラッグ・グレイ)の空洞理論に基づいて測定する。
午前/問題81
GM計数管で正しいのはどれか。
1.不感時間がない。
2.電離箱領域で動作する。
3.中心電極の近傍では電界が弱い。
4.出力信号は一次電離量に比例しない。
5.外部消滅法は放電直後に印加電圧を上げる。
午前/問題82
高エネルギー光子線の吸収線量計測で正しいのはどれか。2つ選べ。
1.水等価ファントムを使用することができる。
2.エネルギーが高くなるほど電離箱の線質変換係数は小さくなる。
3.校正深でのファーマ形電離箱による測定では半径変位法を用いる。
4.パルス当たりの電離密度が高くなるほどイオン再結合は大きくなる。
5.エネルギーが高くなるほど水/空気の質量衝突阻止能比は大きくなる。
午前/問題83
感染症患者に対するX線撮影時の診療放射線技師の対応で正しいのはどれか。
1.感染情報は撮影終了後に入手する。
2.感染症患者の撮影はその日の最初に実施する。
3.感染症患者の撮影時に着用した手袋は一般ゴミとして処理する。
4.撮影時に空気感染の危険がある場合にはN95マスクを着用する。
5.ノロウイルス患者の嘔吐物が付着した補助具はエタノールで消毒する。
午前/問題84
X線撮影で被写体から発生する散乱線が増加するのはどれか。ただし、他の条件は一定とする。
1.管電流を下げる。
2.管電圧を高くする。
3.照射野を狭くする。
4.グリッドを使用する。
5.被写体と検出器間の距離を長くする。
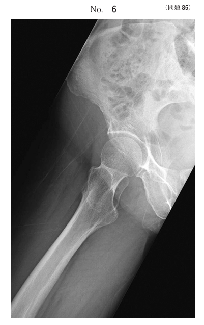
午前/問題85
X線写真別冊No. 6 を別に示す。撮影法で正しいのはどれか。
1.Martius(マルチウス)法
2.Stryker(ストライカー)法
3.Anthonsen(アントンセン)法
4.Caldwell(コールドウェル)法
5.Lauenstein(ラウエンシュタイン)法
午前/問題86
乳房X線撮影で乳房を圧迫した際に増加するのはどれか。
1.散乱線
2.乳腺の観察域
3.幾何学的ボケ
4.乳腺組織吸収線量
5.被検者の動きによるボケ
午前/問題87
造影剤を逆行性に投与する検査はどれか。2つ選べ。
1.食道造影
2.注腸造影
3.下肢静脈造影
4.子宮卵管造影
5.十二指腸造影
午前/問題88
腹部CT像別冊No. 7 を別に示す。矢印で示すアーチファクトの原因はどれか。
1.患者の体動
2.部分体積現象
3.体内での線質硬化
4.X線管焦点の荒れ
5.検出器チャネルの出力値異常
午前/問題89
手根骨の正面X線写真別冊No. 8 を別に示す。矢印で示すのはどれか。
1.舟状骨
2.月状骨
3.有頭骨
4.有鉤骨
5.大菱形骨
午前/問題90
血管造影写真別冊No. 9 を別に示す。矢印で示すのはどれか。
1.脾動脈
2.左胃動脈
3.総肝動脈
4.固有肝動脈
5.胃十二指腸動脈
午前/問題91
頸部の造影CT像別冊No. 10 を別に示す。矢印で示すのはどれか。
1.気管
2.食道
3.甲状腺
4.総頸動脈
5.内頸静脈
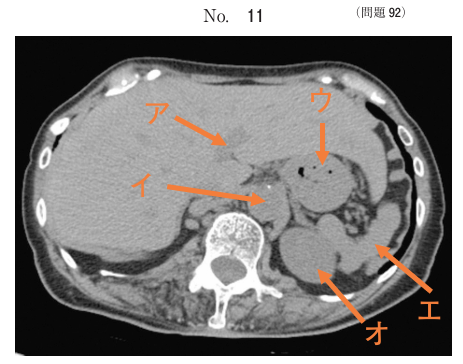
午前/問題92
腹部CT像別冊No. 11 を別に示す。正しい組合せはどれか。
1.ア ーーーーー 肝静脈
2.イ ーーーーー 下大静脈
3.ウ ーーーーー 胃
4.エ ーーーーー 膵臓
5.オ ーーーーー 脾臓
午前/問題93
画質評価法で正しいのはどれか。
1.DQEの算出に入射X線光子数を用いる。
2.MTFの高周波成分から粒状性が評価できる。
3.特性曲線の低濃度部から粒状性が評価できる。
4.RMSの算出にFourier変換を利用する。
5.ROC曲線を作成する際にラダーファントムを使用する。
午前/問題94
解像度を維持しながら画像ノイズを低減するのに有用なのはどれか。2つ選べ。
1.階調処理
2.加算平均処理
3.平均値フィルタ処理
4.ハイパスフィルタ処理
5.メディアンフィルタ処理
午前/問題95
ROC解析で正しいのはどれか。2つ選べ。
1.連続確信度法は段階評定である。
2.特異度は有病正診率と呼ばれている。
3.ROC曲線下の面積を用いて評価する。
4.観察者間の診断能力の差は評価できない。
5.CT像とMR像の病変検出能の違いを評価できる。
午前/問題96
国際放射線防護委員会(ICRP)2007年勧告の医療被ばくにおける診断参考レベルで正しいのはどれか。
1.各施設が独自に設定する。
2.放射線治療には適用しない。
3.被ばくの正当化を目的とする。
4.患者個人の線量拘束値である。
5.診断参考レベルを超えて被ばくさせてはならない。
午前/問題97
法令とその規制対象の組合せで正しいのはどれか。2つ選べ。
1.医療法 ーーーーー 照射録への署名
2.電波法 ーーーーー MRI装置の使用許可
3.労働安全衛生法 ーーーーー 労働者の健康診断
4.診療放射線技師法 ーーーーー X線装置の設置届
5.放射線障害防止法 ーーーーー X線診療室の構造設備
午前/問題98
蛍光ガラス線量計の特性で正しいのはどれか。2つ選べ。
1.繰り返し測定が可能である。
2.検出下限値はmSvである。
3.長期間の積算線量が測定できる。
4.蛍光ガラス素子はGaイオンを含有する。
5.ガラスを赤外線で刺激することによって蛍光を発する。
午前/問題99
表面汚染の管理で正しいのはどれか。2つ選べ。
1.γ線放出核種の表面密度限度はBq/cm2である。
2.β線放出核種の表面密度限度は40Bq/cm2である。
3.β線放出核種の表面汚染測定にはBF3比例計数管を使用する。
4.α線放出核種の表面汚染測定には端窓型GM計数管を使用する。
5.表面密度限度の1/10を超えるものは管理区域からみだりに持ち出さない。
午前/問題100
X線撮影で患者の皮膚の吸収線量が低下するのはどれか。ただし、他の条件は一定とする。
1.照射野を広くする。
2.低電圧で撮影する。
3.管電流を大きくする。
4.付加フィルタを使用する。
5.高格子比のグリッドを使用する。

