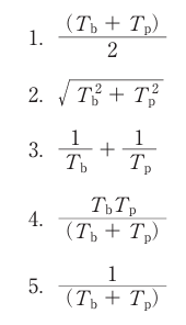
午前/問題1
生物的半減期をTb、物理的半減期をTpとすると有効半減期を表すのはどれか。
 
午前/問題2
過渡平衡が成立する親核種の壊変定数λ₁と娘核種の壊変定数λ₂との関係はどれか。
1.λ₁ ≪ λ₂
2.λ₁ < λ₂
3.λ₁ = λ₂
4.λ₁ > λ₂
5.λ₁ ≫ λ₂
午前/問題3
γ線エネルギーが最も高いのはどれか。
1.¹⁸F
2.⁶⁷Ga
3.⁹⁹mTc
4.¹²³I
5.²⁰¹Tl
午前/問題4
原子炉生成核種はどれか。2つ選べ。
1.¹¹C
2.¹⁵O
3.¹³¹I
4.¹³⁷Cs
5.²⁰¹Tl
午前/問題5
99Moの放射能が100MBq、99mTcの放射能が未知のとき、48時間後の99mTcの放射能MBqに最も近いのはどれか。
ただし、99Moの物理的半減期は66時間、99mTcは6時間とし、99Moから99mTcへの分岐比は0.877とする。指数関数近似は以下とする。
 
1.100
2.80
3.60
4.40
5.20
午前/問題6
目的とする放射性核種を溶液に残し、不要な放射性核種を沈殿させるのはどれか。
1.担体
2.共沈剤
3.補集剤
4.保持担体
5.スカベンジャ
午前/問題7
放射化学的分離法で正しいのはどれか。2つ選べ。
1.溶媒抽出法はトレーサの分離には適さない。
2.電気化学的分離はイオン化傾向の差を利用する。
3.吸着法ではラジオコロイドの性質を利用しない。
4.沈殿法では目的核種と異なる元素を担体に用いる。
5.溶媒抽出法による分離はイオン交換分離より迅速である。
午前/問題8
標識化合物について正しいのはどれか。
1.標識率は放射性核種純度と同義である。
2.標識化合物の純度検定では化学的純度と放射化学的純度を調べる。
3.一度検定された標識化合物は安定なので放射化学的不純物を含むことはない。
4.放射性核種純度は指定の化学形で存在する放射性核種がその物質の全放射能に占める割合である。
5.放射化学的純度は化学形と無関係に着目する放射性核種の放射能がその物質の全放射能に占める割合である。
午前/問題9
回転陽極X線管で短時間許容負荷を約2倍としたい。焦点軌道直径と陽極回転数の組合せで正しいのはどれか。
1.焦点軌道直径1.3倍、陽極回転数3倍
2.焦点軌道直径1.3倍、陽極回転数1倍
3.焦点軌道直径2.0倍、陽極回転数3倍
4.焦点軌道直径2.0倍、陽極回転数1倍
5.焦点軌道直径3.0倍、陽極回転数1倍
午前/問題10
乳房撮影用X線管の特徴で正しいのはどれか。2つ選べ。
1.焦点サイズは0.5mm以下である。
2.放射口にはカーボンが用いられる。
3.陰極-陽極間距離は20mm程度である。
4.陽極材質としてモリブデンが用いられる。
5.高速回転形陽極では倍回転のとき3000回転/分となる。
午前/問題11
X線撮影装置で正しいのはどれか。
1.自己整流装置は直流高電圧をX線管に加える。
2.コンデンサ式装置のX線出力は撮影時間に比例する。
3.三相12ピーク整流は二次巻線をY-Δに直列接続する。
4.ピーク装置の単巻変圧器は管電流の調整に使用される。
5.コンデンサ式装置の撮影時間は管電圧波形の最大値に対する75%の立ち上がりと立ち下がりとの間隔である。
午前/問題12
無負荷時において一次電圧200Vで管電圧150kVを発生する単相ピーク形X線高電圧装置がある。
この装置で管電流200mA通電したときの一次電流Aはどれか。
ただし、励磁電流は無視する。
1.106
2.118
3.150
4.166
5.212
午前/問題13
X線テレビカメラのCCDで正しいのはどれか。
1.残像が少ない。
2.出画時間が遅い。
3.地磁気の影響を受けやすい。
4.消費電力が光導電形撮像管より多い。
5.電子ビーム走査による像のひずみがある。
午前/問題14
CRの読み取りシステムに関係ないのはどれか。
1.DA変換器
2.集光ガイド
3.光電子増倍管
4.半導体レーザー
5.ポリゴンミラー
午前/問題15
FPD装置で正しいのはどれか。
1.直接変換方式では動画撮影はできない。
2.間接変換方式ではシンチレータを用いる。
3.アナログシステムと比較してDQEは低い。
4.間接変換方式ではアモルファスセレンを用いる。
5.直接変換方式では地磁気の影響を受け画像ひずみが生じる。
午前/問題16
散乱X線除去用グリッドで正しいのはどれか。
1.管電圧が高いほど選択度は大きい。
2.中間物質にはアルミニウムが用いられる。
3.グリッド比が大きいほど露出倍数は小さい。
4.運動グリッドはリスホルムブレンデとも呼ばれる。
5.グリッド比が大きいほどコントラスト改善度は小さい。
午前/問題17
歯科用コーンビームCT装置で正しいのはどれか。
1.ヘリカルスキャンを用いる。
2.高速に回転して撮影できる。
3.視野サイズが変更できない。
4.幾何学的ひずみ補正の必要がない。
5.検出器にI.I.とCCDの組合せを用いる。
午前/問題18
X線CT装置に関する組合せで正しいのはどれか。
1.DAS ーーーーー DA変換
2.X線管 ーーーーー 固定陽極
3.X線検出器 ーーーーー フラットパネル型
4.走査ガントリ ーーーーー チルト機構
5.X線高電圧発生装置 ーーーーー 自己整流方式
午前/問題19
単列検出器のヘリカルCT装置で、ビームコリメーション10mm、ヘリカルピッチ2で撮影する場合、ガントリ回転あたりのテーブル移動距離mmはどれか。
1.0.2
2.5
3.8
4.12
5.20
午前/問題20
X線CT装置の点検項目でないのはどれか。
1.CTDI
2.ノイズ
3.空間分解能
4.時間分解能
5.低コントラスト分解能
午前/問題21
MRIでSARの低減に有効なのはどれか。
1.TRを短縮する。
2.TEを短縮する。
3.スライス枚数を増やす。
4.RFパルス幅を狭くする。
5.フリップ角を小さくする。
午前/問題22
MRI撮影中にクエンチングが発生し、検査室のドアが開かなくなった。適切な対応はどれか。
1.検査室の窓ガラスを割る。
2.消防車の出動を要請する。
3.装置の緊急停止ボタンを押す。
4.検査室内の空調のスイッチを切る。
5.患者にハンカチや衣類を口にあてて呼吸するように伝える。
午前/問題23
MRI装置のコイル別冊No. 1を用いて有効な検査ができるのはどれか。
1.脳梗塞
2.肝細胞癌
3.前立腺癌
4.腎細胞癌
5.月状骨壊死
 
午前/問題24
音響インピーダンスが最も大きいのはどれか。
1.骨
2.空気
3.血液
4.脂肪
5.筋肉
午前/問題25
超音波診断装置で誤っているのはどれか。
1.フレームレートは時間分解能を表す。
2.パルス幅が狭いと距離分解能が高くなる。
3.低周波探触子の使用により方位分解能が高くなる。
4.方位分解能は超音波ビームの垂直方向に並ぶものを識別する能力である。
5.距離分解能は超音波ビームの進行方向に並ぶものを識別する能力である。
午前/問題26
無散瞳眼底写真撮影装置で正しいのはどれか。
1.白黒画像である。
2.可視光で撮影する。
3.撮影画角は75度である。
4.照明光に紫外線を用いる。
5.眼球に最も近い構造はフォーカシングレンズである。
午前/問題27
乳房用X線装置のJIS規格の項目とその許容値の組合せで正しいのはどれか。2つ選べ。
1.管電圧の正確度 ーーーーー ±5%以内
2.管電流の正確度 ーーーーー ±5%以内
3.撮影用タイマの正確度 ーーーーー ±5%以内
4.管電流時間積の正確度 ーーーーー ±5%以内
5.X線出力の再現性(変動係数) ーーーーー 0.05以下
午前/問題28
JIS Z4703医用X線機械装置通則で正しいのはどれか。
1.135kgの負荷質量で正常に動作しなければならない。
2.装置が発する1秒以上の騒音は80dBを超えてはならない。
3.危害を加える恐れのある部分の制御はデッドマン形制御とする。
4.X線透視撮影台の圧迫筒の圧迫の強さは200Nを超えてはならない。
5.経時変化による損傷の恐れがある懸垂機構の静安全率は5以上である。
午前/問題29
MRIがCTよりも検出感度が高いのはどれか。2つ選べ。
1.肺腺癌
2.尿路結石
3.子宮頸癌
4.くも膜下出血
5.前十字靱帯損傷
午前/問題30
肝細胞癌患者の同一断面のMR像別冊No. 2を別に示す。使用した造影剤はどれか。
1.塩化マンガン四水和物液
2.フェルカルボトラン注射液
3.クエン酸鉄アンモニウム散剤
4.ガドペンテト酸ジメグルミン(Gd-DTPA)
5.ガドキセト酸ナトリウム(Gd-EOB-DTPA)
 
午前/問題31
MRIで熱傷の原因となるのはどれか。
1.静磁場
2.クエンチ
3.変動磁場
4.高周波パルス
5.コイルのひずみ
午前/問題32
T2強調像で最も高信号を呈するのはどれか。
1.脂肪
2.心筋
3.肝臓
4.脳白質
5.脳脊髄液
午前/問題33
頸椎MRIのT2強調矢状断像で脳脊髄液の流れに起因するアーチファクトを軽減するのはどれか。
1.FOVを小さくする。
2.脂肪抑制法を用いる。
3.呼吸同期法を用いる。
4.ボクセルサイズを大きくする。
5.位相エンコード方向を頭尾方向にする。
午前/問題34
MRIの脂肪抑制法はどれか。
1.DTI
2.DWI
3.MTC
4.STIR
5.FLAIR
午前/問題35
MRIの安全性で正しいのはどれか。
1.発熱の評価にはdB/dtを使用する。
2.人工内耳装着者の検査は禁忌である。
3.小さなサイズの強磁性体は検査室に持ち込んでもよい。
4.3.0T装置では第二水準管理操作モードの基準が適応される。
5.カラーコンタクトレンズは装着したまま検査しても問題はない。
午前/問題36
超音波の走査方式のうち、振動子が探触子の中心にあり、360度の視野の画像が得られることによって、内視鏡検査に用いられるのはどれか。
1.ラジアル走査
2.電子リニア走査
3.電子セクタ走査
4.電子コンベックス走査
5.メカニカルセクタ走査
午前/問題37
上腹部超音波検査で正しいのはどれか。
1.脾臓を描出するために飲水法を用いる。
2.脂肪の多い人ほど臓器の描出が明瞭になる。
3.胆囊の収縮を防止するために鎮痙剤を使用する。
4.頸部超音波検査よりも高い周波数のプローブを使用する。
5.胆石の症例では体位変換を行い隆起性病変との鑑別を行う。
午前/問題38
無散瞳眼底カメラ検査で正しいのはどれか。
1.連続撮影に適する。
2.待合は暗い部屋を用意する。
3.緑内障患者では原則禁忌である。
4.高度の近視では眼底にピントが合わない。
5.検査終了後30分間は車の運転を控えるように指示する。
午前/問題39
突然左片麻痺を発症した患者のMRA像前後投影像とMR像拡散強調像別冊No. 3を別に示す。閉塞している動脈はどれか。
1.脳底動脈
2.椎骨動脈
3.内頸動脈
4.前大脳動脈
5.中大脳動脈
 
午前/問題40
高速スピンエコー法による頭部MRI T2強調像別冊No. 4を別に示す。中大脳動脈内が低信号に描出される理由はどれか。
1.位相分散
2.ブラーリング
3.インフロー効果
4.ミスレジストレーション
5.トランケーションアーチファクト
 
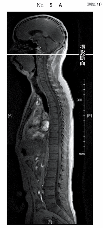
午前/問題41
脊椎のMR像別冊No. 5Aを別に示す。位置決め像の断面で得られる画像別冊No. 5Bはどれか。
1.ア
2.イ
3.ウ
4.エ
5.オ
 
 
午前/問題42
MR像別冊No. 6A、B、C、Dを別に示す。正しいのはどれか。2つ選べ。
1.AはFLAIR像である。
2.BはT1強調像である。
3.CはT2強調像である。
4.Dは拡散強調像である。
5.Dは造影後の像である。
 
午前/問題43
頸部のMR像別冊No. 7を別に示す。正しいのはどれか。2つ選べ。
1.アは橋である。
2.イは隆椎である。
3.ウは頸髄である。
4.エは椎体静脈である。
5.オは髄核である。
 
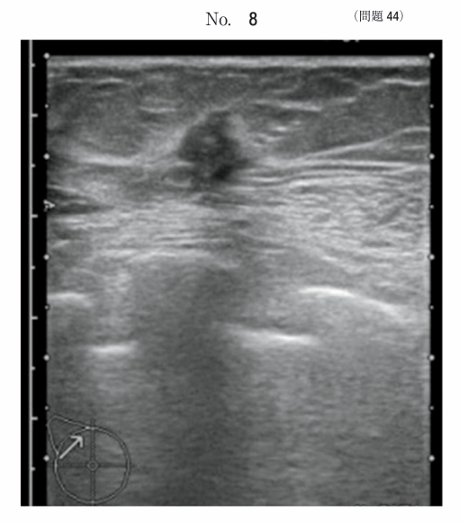
午前/問題44
乳腺結節の超音波画像別冊No. 8を別に示す。所見で正しいのはどれか。2つ選べ。
1.辺縁不整
2.境界明瞭
3.囊胞性病変
4.粗大石灰化病変
5.縦横比D/W > 1
 
午前/問題45
超音波検査用探触子別冊No. 9を別に示す。最も適切な検査対象はどれか。
1.脳
2.甲状腺
3.心臓
4.乳腺
5.肝臓
 
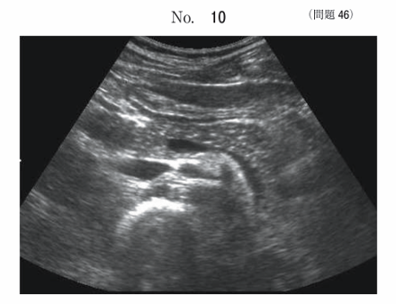
午前/問題46
膵臓の超音波画像別冊No. 10を別に示す。正しいのはどれか。
1.右肋間走査である。
2.多量の腹水が描出されている。
3.胃内に多量のガスが存在している。
4.膵の背側に脾静脈が描出されている。
5.主膵管の明らかな拡張が描出されている。
 
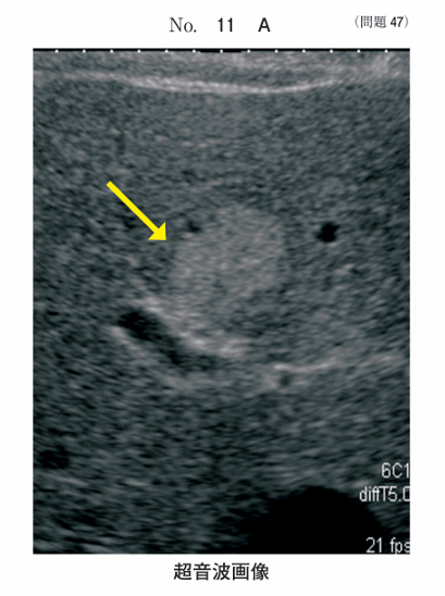
午前/問題47
同一腫瘍の超音波画像別冊No. 11AとMR像別冊No. 11Bを別に示す。矢印の腫瘤の主成分はどれか。
1.水
2.血液
3.脂肪
4.線維
5.カルシウム
 
 
午前/問題48
眼底写真別冊No. 12を別に示す。誤っているのはどれか。
1.写真は右眼である。
2.イは黄斑部である。
3.アは視神経乳頭である。
4.中心窩は黄斑部に存在する。
5.太く暗赤色に描出されているのが静脈である。
 
午前/問題49
放射性医薬品の取扱いで正しいのはどれか。
1.使用済みの注射器は安全のため再度キャップする。
2.放射性医薬品を取り扱うための手袋は日回交換する。
3.放射性医薬品の残液を含んだ注射器はドラム缶で一時保管する。
4.汚染された医療廃棄物は放射線が検出されなくなるまで保管する。
5.PETで汚染した廃棄物は、10日間保管した後一般廃棄物として処理する。
午前/問題50
腎集積が少ないのはどれか。
1.¹⁸F-FDG
2.⁹⁹mTc-MDP
3.¹¹¹In-DTPA
4.¹³¹I-アドステロール
5.²⁰¹Tl-塩化タリウム
 
											





 
							
							
							
															 
							
							
							
															 
							
							
							
															 
										
					 
         
										
										
										
																	 
										
										
										
																	 
										
										
										
																	 
										
										
										
																	 
										
										
										
																	 
										
										
										
																	 
										
										
										
																	


