"> 科目別まとめ / X線撮影技術学 - 診療放射線技師 国家試験対策なび | 合格への最短ルートを提供
X線撮影技術学 PR

科目別まとめ / X線撮影技術学

記事内に商品プロモーションを含む場合があります

第76回 国家試験 | 午前問題

午前/問題83

頭部正面撮影で前後位と比較した後前位の利点はどれか。

1.顔面骨が拡大される。
2.入射点が観察しやすい。
3.位置合わせが容易である。
4.水晶体の被ばくが軽減される。
5.被検者が姿勢を維持しやすい。

 答え
4

午前/問題84

乳房 X 線写真(別冊No. 6)を別に示す。
この撮影法で正しいのはどれか。 2 つ選べ。

1.圧迫は乳房の外側から行う。
2.X 線の入射方向は頭尾方向である。
3.照射野は乳房の大きさに合わせて調節する。
4.乳房支持台の角度を大胸筋外側と平行にする。
5.乳房外側上部の深部組織を描出することができる。

 答え
4、5

午前/問題85

腹部造影 CT 像(別冊No. 7)を別に示す。
考えられるのはどれか。

1.腸閉塞
2.尿管結石
3.急性胆囊炎
4.消化管穿孔
5.腹部大動脈瘤破裂

 答え

午前/問題86

X 線撮影で画像コントラストを向上させるのはどれか。
ただし、他の条件は一定とする。

1.mAs 値を上げる。
2.管電圧を低くする。
3.照射野を広くする。
4.検出器を被写体に近づける。
5.高格子比グリッドから低格子比グリッドに変更する。

 答え
2

午前/問題87

X 線撮影体位(別冊No. 8)を別に示す。
撮影法で正しいのはどれか。

1.Anthonsen〈アントンセン〉法
2.Guthmann〈グースマン〉法
3.Lauenstein〈ラウエンシュタイン〉法
4.Rosenberg〈ローゼンバーグ〉法
5.Stenvers〈ステンバース〉法

 答え
3

午前/問題88

腹部造影 CT の MIP 像(別冊No. 9)を別に示す。
矢印で示すのはどれか。

1.腎動脈
2.脾動脈
3.腹腔動脈
4.総腸骨動脈
5.上腸間膜動脈

 答え
5

午前/問題89

診療放射線技師が診療の補助で実施できない行為はどれか。

1.下部消化管検査のために肛門にカテーテルを挿入する。
2.上部消化管検査のために鼻腔にカテーテルを挿入する。
3.造影剤を投与するために当該造影剤注入装置を操作する。
4.画像誘導放射線治療のために肛門にカテーテルを挿入する。
5.核医学検査のために静脈路に放射性医薬品を投与するための装置を接続す
る。

 答え
2

午前/問題90

焦点-被写体間距離を a、被写体-検出器間距離を b、焦点サイズを F としたと
き半影はどれか。

 答え
2

午前/問題91

骨塩定量検査で第 2 中手骨を測定部位とするのはどれか。

1.D I P 法
2.DXA 法
3.QCT 法
4.QUS 法
5.SXA 法

 答え
1

午前/問題92

DLP の単位で正しいのはどれか。

1.mGy
2.mSv
3.mGy・cm
4.mSv・cm
5.mSv・cm-1

 答え
3

第76回 国家試験 | 午後問題

午後/問題85

上部消化管造影写真(別冊No. 6)を別に示す。
正しいのはどれか。

1.腹臥位の画像である。
2.立位で撮影している。
3.噴門部が明瞭に描出されている。
4.胃体中部後壁の描出を目的としている。
5.胃角部の小弯線が U 字に描出されている。

 答え
4

午後/問題86

WHO のガイドラインで手指衛生の 5 つのタイミングに該当するのは
どれか。

1.食事休憩の後
2.電子カルテ端末に触る前
3.X 線 CT 装置の始業点検の前
4.X 線 CT 装置の操作卓に触った後
5.寝台から起き上がる患者を介助した後

 答え
5

午後/問題87

頭部撮影基準線(別冊No. 7)を別に示す。
正しい組合せはどれか。

1.ア  ー  ドイツ水平線
2.イ  ー  眼窩耳孔線
3.ウ  ー  耳垂直線
4.エ  ー  頷角耳孔線
5.オ  ー  前鼻棘耳孔線

 答え
2

午後/問題88

IVR における術者の水晶体被ばく低減へ向けた取組みで正しいのはどれか。

1.拡大透視を使用する。
2.透視のパルスレートを高くする。
3.不均等被ばくとして線量管理する。
4.オーバーテーブルチューブ方式を採用する。
5.患者に可能な限り近づいて手技を実施する。

 答え
3

午後/問題89

油性ヨード造影剤を用いてもよいのはどれか。

1.血管造影
2.大腸造影
3.子宮卵管造影
4.上部消化管造影
5.排泄性尿路造影

 答え
3

午後/問題90

頭部単純 CT 像(別冊No. 8)を別に示す。
確認できるのはどれか。

1.メタルアーチファクト
2.リングアーチファクト
3.ストリークアーチファクト
4.ダークバンドアーチファクト
5.ステアステップアーチファクト

 答え
4

午後/問題91

X 線 CT で正しいのはどれか。

1.検査前日から絶飲食とする。
2.正常な肝臓の CT 値は脂肪より高い。
3.ダイナミック CT では造影剤は使用しない。
4.急性期脳梗塞の描出能は MRI より優れている。
5.肺を観察するときのウインドウ幅は 500 HU 程度とする。

 答え
2

午後/問題92

胸部 X 線写真(別冊No. 9)を別に示す。
正しい組合せはどれか。

1.ア  ー  喉 頭
2.イ  ー  大動脈弓
3.ウ  ー  肋骨横隔膜角
4.エ  ー  上大静脈
5.オ  ー  肩甲骨

 答え
2

午後/問題93

右肘関節の正面 X 線写真(別冊No. 10)を別に示す。
正しい組合せはどれか。

1.ア  ー  上腕骨小頭
2.イ  ー  肘 頭
3.ウ  ー  尺 骨
4.エ  ー  茎状突起
5.オ  ー  内側上顆

 答え
2

第75回 国家試験 | 午前問題

午前/問題83

最も低い管電圧を用いる撮影部位はどれか。

1.咽 頭
2.喉 頭
3.手 指
4.乳 房
5.アキレス腱

 答え
4

午前/問題84

KUB の画像(別冊No. 5)を別に示す。
行われた処置はどれか。

1.人工血管置換術
2.尿管ステント留置術
3.消化管ステント留置術
4.イレウスチューブ挿入術
5.腹部大動脈ステントグラフト留置術

 答え
2

午前/問題85

医療安全で正しいのはどれか。

1.組織の対応より個人の注意が重要である。
2.インシデントレポートの提出には医師の承認が必要である。
3.医療事故はできるだけ発生部署内で解決するように心掛ける。
4.医療事故を減らすため、一つの原因のみに重点的な対策を行う。
5.事故の原因が究明できていなくても、インシデントレポートを提出する。

 答え
5

午前/問題86

胸部 X 線写真(別冊No. 6)を別に示す。
矢印で示す部位と名称の組合せで正しいのはどれか。

1.ア 食 道
2.イ 大動脈弓
3.ウ 左肺静脈
4.エ 大葉間裂
5.オ 心横隔膜角

 答え
2

午前/問題87

X 線撮影の体位(別冊No. 7)を別に示す。
第 1 斜位はどれか。

1.ア
2.イ
3.ウ
4.エ
5.オ

 答え
5

午前/問題88

頸部の単純 CT 像(別冊No. 8)を別に示す。
矢印で示すのはどれか。

1.横突起
2.棘突起
3.筋突起
4.歯突起
5.乳様突起

 答え
4

午前/問題89

CTDIvol の単位で正しいのはどれか。

1.cm
2.mGy
3.mSv
4.mGy・cm
5.mGy/cm

 答え
2

午前/問題90

焦点-被写体間距離を a、被写体-検出器間距離を b としたとき、拡大率はどれ
か。

1.a/b
2.b/a
3. 1 + a/b
4. 1 + b/a
5.1/a + 1/b

 答え
4

午前/問題91

胃部 X 線造影検査で誤っているのはどれか。

1.圧迫撮影法では凹凸病変の形態が観察できる。
2.二重造影法では陰性造影剤として炭酸ガスを使用する。
3.注腸造影検査に比べて低濃度の硫酸バリウムを使用する。
4.胃粘膜面に硫酸バリウムを付着させる目的で体位変換を行う。
5.背臥位二重造影第 1 斜位像では十二指腸球部から前庭部が描出される。

 答え
3

午前/問題92

子宮卵管造影検査で正しいのはどれか。

1.経時的に撮影する。
2.40 kV 程度の管電圧で撮影する。
3.骨盤計測を目的とした検査である。
4.造影剤投与後に KUB 撮影を実施する。
5.油性ヨード造影剤の使用は禁忌である。

 答え
1

第75回 国家試験 | 午後問題

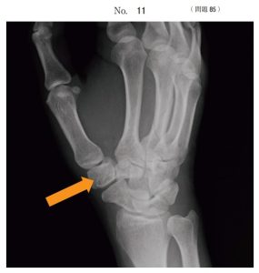
午後/問題85

手の X 線写真(別冊No. 11)を別に示す。
矢印で示す骨はどれか。

1.月状骨
2.舟状骨
3.有鉤骨
4.小菱形骨
5.大菱形骨

 答え
5

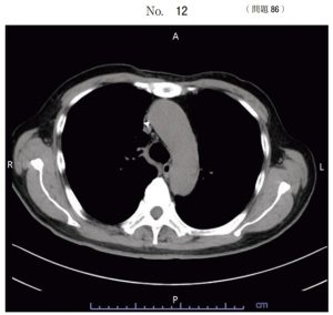
午後/問題86

胸部単純 CT 像(別冊No. 12)を別に示す。
カテーテルが挿入されている部位はどれか。

1.奇静脈
2.上大静脈
3.大動脈弓
4.上行大動脈
5.右鎖骨下動脈

 答え
2

午後/問題87

Guthmann〈グースマン〉法における骨盤計測線の図(別冊No. 13)を別に示す。
正しい組合せはどれか。

1.a 解剖学的結合線
2.b 対角結合線
3.c 真結合線
4.d 骨盤下口結合線
5.e 骨盤峡部結合線

 答え
1

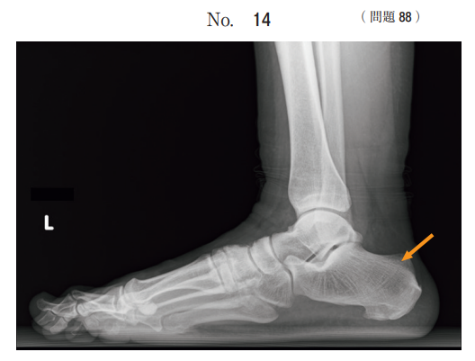
午後/問題88

足部の X 線写真(別冊No. 14)を別に示す。
矢印で示すのはどれか。

1.距 骨
2.脛 骨
3.踵 骨
4.舟状骨
5.立方骨

 答え
3

午後/問題89

腹部の血管造影写真(別冊No. 15)を別に示す。
矢印で示すのはどれか。

1.脾動脈
2.総肝動脈
3.左胃動脈
4.腹腔動脈
5.上腸間膜動脈

 答え
5

午後/問題90

診療放射線技師が行える業務で誤っているのはどれか。

1.放射線検査等に関する説明
2.造影剤の静脈路からの投与終了後の抜針及び止血
3.上部消化管検査のために鼻腔にカテーテルを挿入する行為
4.造影 CT 検査のために静脈路と造影剤注入装置を接続する行為
5.下部消化管検査のために肛門カテーテルから造影剤を注入する行為

 答え
3

午後/問題91

乳房 X 線撮影で正しいのはどれか。

1.入射線量は乳頭側ほど少ない。
2.乳房は照射野の中央に整位する。
3.圧迫圧は乳房の厚さに合わせて調節する。
4.照射野は乳房の大きさに合わせて調節する。
5.FPD を搭載した装置では AEC 機能は用いない。

 答え
1

午後/問題92

X 線 CT で正しいのはどれか。

1.脂肪肝の CT 値は脾臓の CT 値より高い。
2.造影検査では検査前日から絶飲食とする。
3.CT コロノグラフィでは炭酸ガスを注入する。
4.脳梗塞巣は正常な脳実質より高い CT 値を呈する。
5.肺野を観察するときのウインドウ幅は 200 HU 程度とする。

 答え
3

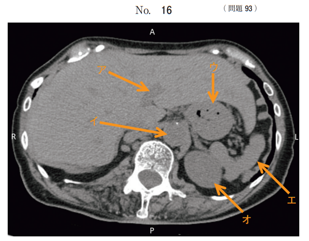
午後/問題93

腹部 CT 像(別冊No. 16)を別に示す。
正しい組合せはどれか。

1.ア 門 脈
2.イ 下大静脈
3.ウ 横行結腸
4.エ 膵 臓
5.オ 副 腎

 答え
1

第74回 国家試験 | 午前問題

午前/問題83

乳房 X 線撮影において被ばくの低減につながるのはどれか。

1.管電圧を下げる。
2.mAs 値を上げる。
3.グリッドの格子比を高くする。
4.乳房トモシンセシスを併用する。
5.フィルタをモリブデンからロジウムに変更する。

 答え
5

午前/問題84

左肘関節側面のX線写真1別冊No. 83を別に示す。
矢印で示す部位と名称の組合せで正しいのはどれか。

1.ア ー 橈 骨
2.イ ー 滑 車
3.ウ ー 鈎状突起
4.エ ー 尺 骨
5.オ ー 肘 頭

 答え
5

午前/問題85

胸部 X 線写真1別冊No. 93を別に示す。
認められる所見はどれか。

1.気 胸
2.結節影
3.肺気腫
4.肺ブラ
5.すりガラス様陰影

 答え
1

午前/問題86

チーム医療で正しいのはどれか。

1.患者情報は共有しない。
2.国家資格を持つ者で構成される。
3.平常時の役割分担は明確化しない。
4.メンバーで総合的に意思決定をする。
5.院内横断的に単一のチームを組織する。

 答え
4

午前/問題87

腹部の血管造影写真1別冊No. 103を別に示す。
矢印で示すのはどれか。

1.脾動脈
2.総肝動脈
3.左胃動脈
4.腹腔動脈
5.右胃動脈

 答え
1

午前/問題88

X 線撮影の体位(別冊No. 11)を別に示す。
観察部位はどれか。

1.踵 骨
2.舟状骨
3.足関節
4.立方骨
5.Lisfranc(リスフラン)関節

 答え
1

午前/問題89

腹部のダイナミック CT(別冊No. 12)を別に示す。
時相の順番として正しいのはどれか。

1.A ー B ー C ー D
2.C ー A ー B ー D
3.C ー B ー D ー A
4.D ー B ー A ー C
5.D ー C ー A ー B

 答え
3

午前/問題90

体表基準と脊椎の位置との組合せで正しいのはどれか。

1.喉頭隆起 ー 第2頸椎レベル
2.胸骨柄上縁 ー 第1胸椎レベル
3.剣状突起 ー 第 12 胸椎レベル
4.肋骨弓下縁 ー 第3腰椎レベル
5.腸骨稜 ー 第2仙椎レベル

 答え
4

午前/問題91

X 線写真(別冊No. 13)を別に示す。
造影されているのはどこか。

1.回 腸
2.子 宮
3.直 腸
4.膀 胱
5.前立腺

 答え
4

午前/問題92

頭部単純 CT 像(別冊No. 14)を別に示す。
矢印で示すのはどれか。

1.骨
2.梗 塞
3.出 血
4.腫 瘍
5.アーチファクト

 答え
3

第74回 国家試験 | 午後問題

午後/問題85

頭部 X 線写真(別冊No. 9)を別に示す。
撮影法で正しいのはどれか。

1.Rhese(レーゼ)法
2.Towne(タウン)法
3.Waters(ウォータース)法
4.Stenvers(ステンバース)法
5.Rosenberg(ローゼンバーグ)法

 答え
3

午後/問題86

血管造影写真(別冊No. 10)を別に示す。
行われた IVR の手技はどれか。

1.血管形成術
2.血栓溶解術
3.コイル塞栓術
4.ステント留置術
5.フィルタ留置術

 答え
3

午後/問題87

腹部造影 CT 像(別冊No. 11)を別に示す。
矢印で示すのはどれか。

1.胃
2.膵 臓
3.脾 臓
4.脾静脈
5.下大静脈

 答え
2

午後/問題88

頸椎正面 X 線写真(別冊No. 12)を別に示す。
矢印で示すのはどれか。
1.横突起
2.棘突起
3.歯突起
4.上関節突起
5.LuschkaHルシュカJ突起

 答え
5

午後/問題89

CT コロノグラフィで正しいのはどれか。

1.心電図同期撮影を行う。
2.背臥位と腹臥位で撮影する。
3.大腸内部の色調が観察できる。
4.硫酸バリウムで大腸を充満させる。
5.fine network pattern を描出できる。

 答え
2

午後/問題90

関節リウマチ患者のX線写真(別冊No. 13)を別に示す。
亜脱臼しているのはどこか。

1.CM 関節
2.DIP 関節
3.IP 関節
4.MP 関節
5.PIP 関節

 答え
5

午後/問題91

腹部造影 CT の多断面再構成像(別冊No. 14)を別に示す。
矢印で示すのはどれか。

1.食道動脈
2.腹腔動脈
3.下腸間膜動脈
4.上腸間膜動脈
5.正中仙骨動脈

 答え
2

午後/問題92

水溶性ヨード造影剤で正しいのはどれか。

1.血漿に比べて浸透圧が低い。
2.使用前にはヨードテストを実施する。
3.経口投与では大部分が尿中から排泄される。
4.投与した患者の 10〜15 %に副作用が発生する。
5.非イオン性製剤はイオン性製剤に比べて即時型副作用が少ない。

 答え
5

午後/問題93

上部消化管造影写真(別冊No. 15)を別に示す。
撮影体位はどれか。

1.背臥位第斜位
2.背臥位第斜位
3.半立位第斜位
4.半立位第斜位
5.立位第斜位

 答え
4

次の問題へ>> 画像工学

科目別まとめ / 画像工学X線撮影技術学(午前および午後問題をまとめて解答と解説)を 掲載しています。血管造影検査の焦点寸法、画像システムのMTF(変調伝達関数)とウィナースペクトル、SNR(信号対雑音比)計算方法、ROC解析の基礎知識について詳しく説明しています。試験に必要な知識を効率的に学ぶための重要なリソースです。...